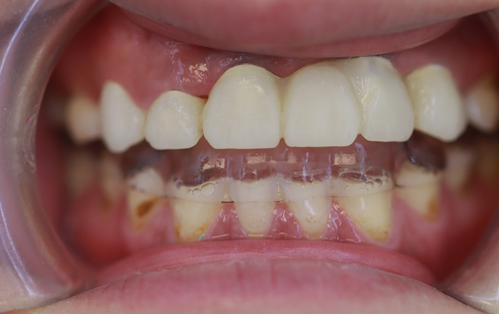
咬合重建的含义:
一般是指患者原有的咬合关系受到破坏,比如垂直距离、水平关系都丧失了,需要对他的咬合关系进行重新的改建,恢复正确的面下垂直高度、水平关系。
适应症:
①牙齿重度磨耗,颌面形态受到破坏,不能舒适有效地执行咀嚼和咬合功能。
②由于缺牙而致牙位有严重错乱(倾斜、过长、错位)导致咬合失调且不易以简单的常规义齿修复方法治疗。
③咬合失调使正确的口腔功能受到干扰,颌形态与下颌运动不协调,采用调颌或一般修复不易取得良好效果。
④额下颌关节构造功能与颌不协调而导致额下颌关节紊乱,用颌垫治疗已取得效果,需以永久性修复体巩固疗效。
咬合重建的含义:
一般是指患者原有的咬合关系受到破坏,比如垂直距离、水平关系都丧失了,需要对他的咬合关系进行重新的改建,恢复正确的面下垂直高度、水平关系。
适应症:
①牙齿重度磨耗,颌面形态受到破坏,不能舒适有效地执行咀嚼和咬合功能。
②由于缺牙而致牙位有严重错乱(倾斜、过长、错位)导致咬合失调且不易以简单的常规义齿修复方法治疗。
③咬合失调使正确的口腔功能受到干扰,颌形态与下颌运动不协调,采用调颌或一般修复不易取得良好效果。
④额下颌关节构造功能与颌不协调而导致额下颌关节紊乱,用颌垫治疗已取得效果,需以永久性修复体巩固疗效。