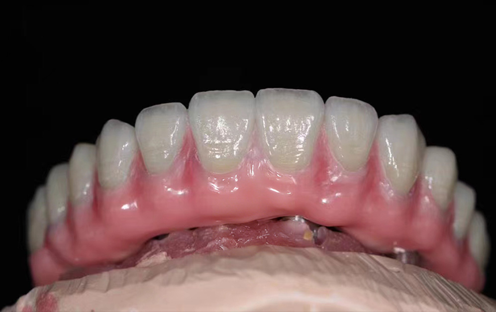
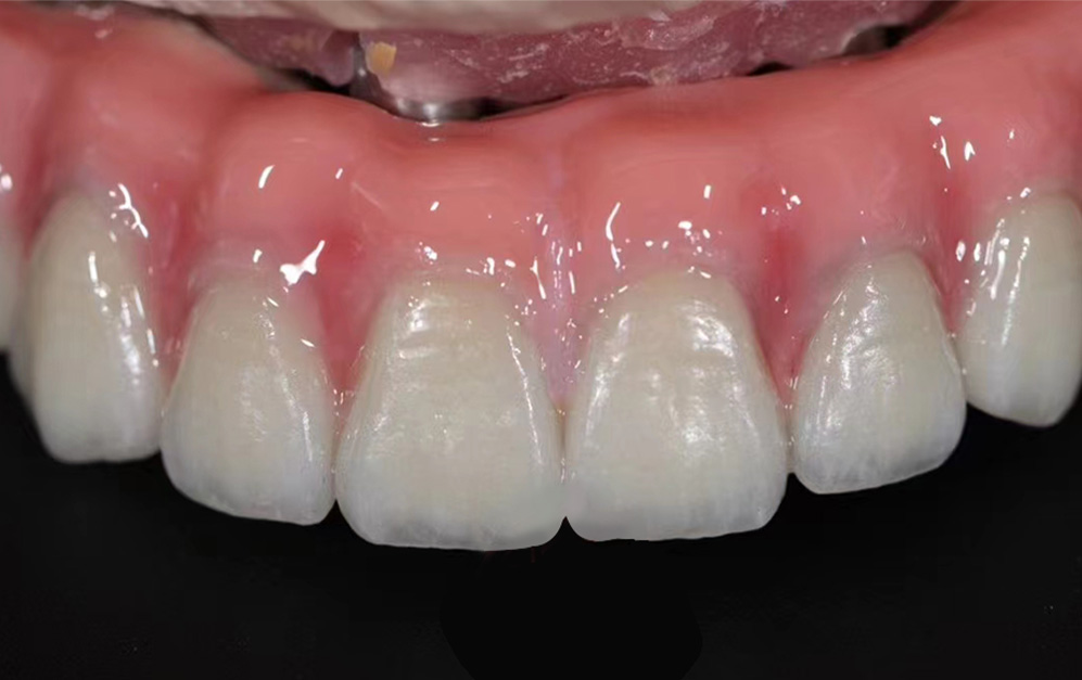
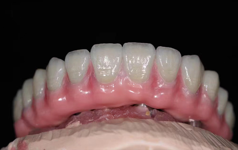
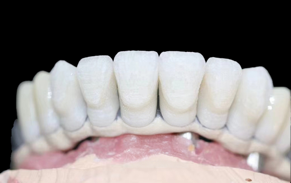
马泷桥钛架+氧化锆上部修复案例展示

姓名:
电话:
地址:
返回顶部
在线客服
电话
热线:0755-27519859
微信
微信