1. 产品简介:
德瓷氧化锆是合肥华特义齿加工有限公司打造的高美学高品质氧化锆产品,该产品采用德国原装进口氧化锆,全球超5000万颗临床验证,全球85个国家和地区消费者方放心选择,德国严格质量标准,高透,强韧,耐磨,渐变,非常适用于高美学的修复体。从材料技术人员到资深口腔技支师,从CAD/CAM数字化加工到口腔临床顾问,华特义齿专业员工团队将为您提供适宜,优质的口腔修复体及临床技术解决方案。德瓷氧化锆是由公司实力产品技术团队打造,基于中国人口腔结构特性和用牙习惯,兼顾功能与美学,提供良好的客户体验和高满意度,是提升牙科机构诊疗质量,市场竞争力的好帮手。
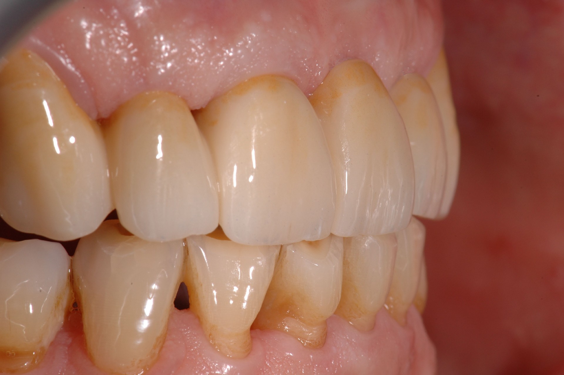
2.颜色:16种VITA经典色,满足多重修复需求
3.适应症:九层渐变 高强超透 适应症覆盖广
4.材料优势:
(1)德国进口,品质臻选
德国Dental Direkt GmbH公司优选品牌,近30年技术积累,超5000万颗临床验证,德国精工制造,优质保障。
(2)高效稳定,性能出众
德国严格质量标准,强韧,耐磨,确保产品能长期安心使用;数字化CAD/CAM精密加工,戴牙快,密合度高,患者体验舒适。
(3)高强度满足长桥需求
高强度氧化锆,强度为1200Mpa士50Mpa,可以满足从单冠到多达14个单元的大跨度修复解决方案。
(4)坚固耐用不易老化
5年咀嚼模拟实验表明,德瓷拥有高断裂韧性,在临床应用中的长期性能稳定,抗老化性能可靠。
(5)颜色精准还原美丽
拥有16种Vita经典色,九层渐变,高强超透,美学效果优良,几乎可以完全重现天然牙色泽,满足多重修复需求。
1. 产品简介:
德瓷氧化锆是合肥华特义齿加工有限公司打造的高美学高品质氧化锆产品,该产品采用德国原装进口氧化锆,全球超5000万颗临床验证,全球85个国家和地区消费者方放心选择,德国严格质量标准,高透,强韧,耐磨,渐变,非常适用于高美学的修复体。从材料技术人员到资深口腔技支师,从CAD/CAM数字化加工到口腔临床顾问,华特义齿专业员工团队将为您提供适宜,优质的口腔修复体及临床技术解决方案。德瓷氧化锆是由公司实力产品技术团队打造,基于中国人口腔结构特性和用牙习惯,兼顾功能与美学,提供良好的客户体验和高满意度,是提升牙科机构诊疗质量,市场竞争力的好帮手。
2.颜色:16种VITA经典色,满足多重修复需求
3.适应症:九层渐变 高强超透 适应症覆盖广
4.材料优势:
(1)德国进口,品质臻选
德国Dental Direkt GmbH公司优选品牌,近30年技术积累,超5000万颗临床验证,德国精工制造,优质保障。
(2)高效稳定,性能出众
德国严格质量标准,强韧,耐磨,确保产品能长期安心使用;数字化CAD/CAM精密加工,戴牙快,密合度高,患者体验舒适。
(3)高强度满足长桥需求
高强度氧化锆,强度为1200Mpa士50Mpa,可以满足从单冠到多达14个单元的大跨度修复解决方案。
(4)坚固耐用不易老化
5年咀嚼模拟实验表明,德瓷拥有高断裂韧性,在临床应用中的长期性能稳定,抗老化性能可靠。
(5)颜色精准还原美丽
拥有16种Vita经典色,九层渐变,高强超透,美学效果优良,几乎可以完全重现天然牙色泽,满足多重修复需求。