首页
特色主推类
德瓷
华创吸附性义齿
美学贴面
咬合重建
数字化 PEEK支架
I Cam 4D
产品分类
固定类
活动类
种植类
正畸类
美学类
画册展示
关于我们
联系我们
销售策略
菜单
返回
首页
特色主推类
产品分类
固定类
活动类
种植类
正畸类
美学类
画册展示
关于我们
联系我们
销售策略
首页
>
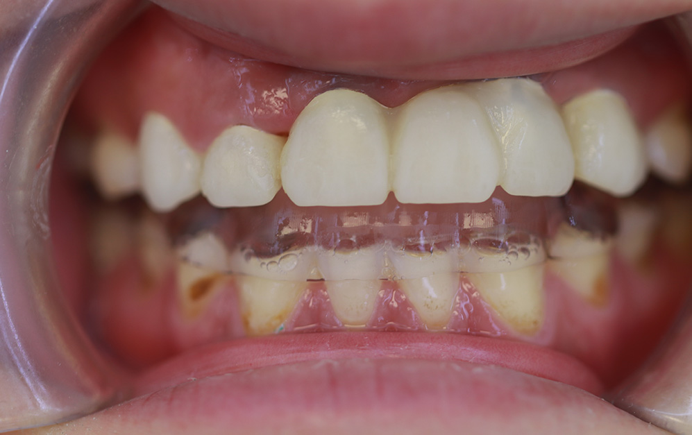
咬合重建
>
咬合重建
咬合重建
产品详情
使用贴士
品质保障
产品详情
products detial
使用贴士
Service Process
品质保障
Quality Assurance
相关推荐
咬合重建
appointment
预约量尺
姓名:
电话:
地址:
确 定
返回顶部
在线客服
电话
热线:0755-27519859
微信