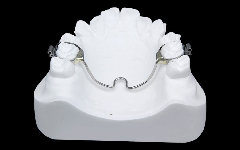
作用原理:
横腭杆通过连接上颌双侧第一磨牙形成稳定结构,实现增强支抗、稳定牙弓形态及均匀分散矫治力的作用。
临床应用:
①纠正磨牙旋转、调整磨牙近远中方向移动、磨牙颊舌侧位置;
②调整磨牙垂直向位置,需配合口外垂直牵引或微种植体支抗;
③ 具有上颌牙弓宽度扩大或腭向缩窄辅助,定向移动牙齿;
④ 增强固位及支抗(常用)。
作用原理:
横腭杆通过连接上颌双侧第一磨牙形成稳定结构,实现增强支抗、稳定牙弓形态及均匀分散矫治力的作用。
临床应用:
①纠正磨牙旋转、调整磨牙近远中方向移动、磨牙颊舌侧位置;
②调整磨牙垂直向位置,需配合口外垂直牵引或微种植体支抗;
③ 具有上颌牙弓宽度扩大或腭向缩窄辅助,定向移动牙齿;
④ 增强固位及支抗(常用)。